沼澤田無駅前歯科では
他院で断られた難症例ケースでも
先進の骨をつくる治療で
インプラント治療が可能になります。
多くの治療実績を持つ
当院だからできる治療があります。
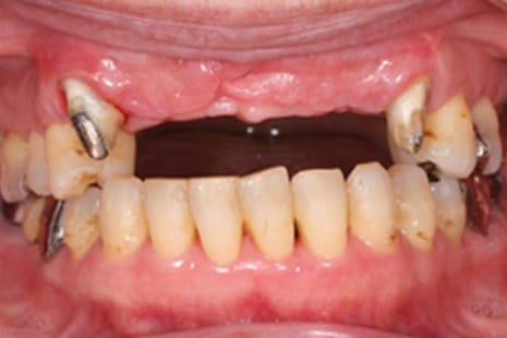
骨量が足りなくてもあきらめないで!

当院では、インプラント治療が難しいと言われた難症例でも、骨量が不足してインプラント治療ができないと言われたケースでも、インプラント講師を努める院長を主体にチーム医療で多くの症例に対応しておりますので、ご安心してまずはご相談ください。

この度、当院のインプラント治療の取り組みについて、詳しく説明した専門サイトを立ち上げました。
歯の欠損がある方、インプラント治療にご興味がある方は、一度ご覧ください。

Do you have any of these problems?
※このようなお悩みがあればご相談ください。

実はそのお悩みは
解決できる可能性があります
実績豊富な歯科医師チーム
インプラント治療ができない主な理由は顎骨の問題で、骨量不足の場合は骨造成が必要となります。
しかし、骨造成は難しく専門的な知識と熟練した治療技術が求められるため、多くの患者様が治療を断られる
ケースがあります。
当院では、インプラント講師を務める院長をはじめ、
さまざまな症例に対応してきた歯科医師がチームとなり
治療にあたります。
他院で治療を断られてしまった方も、当院では治療が
できる場合がございます。ぜひお気軽にご相談ください。
グラフトコンセプト
グラフト術式とは、骨移植や骨造成により顎骨の厚みや量を増やし、骨幅や高さが不足する症例において
インプラントを可能にする治療法です。
グラフトレス術式では行えない症例に関して、
このグラフト術式で治療を行っていきます。

GBR(骨誘導再生法)とは、インプラントの埋入に必要な骨の厚みや幅が不足する場合に、
骨量を増やす手法です。
歯を失って時間が経つと骨が吸収されることがあり、GBR法により骨の再生を図ります。

上顎には鼻の横あたりに上顎洞という大きな空洞があります。
サイナスリフト法は、上顎洞から歯までの骨の高さが不足している場合に、人工骨や自家骨(自身の骨)を移植してインプラントに必要な骨の厚みを作る方法です。

上顎には鼻の横あたりに上顎洞という大きな空洞があります。
ソケットリフト法は、上顎奥の骨が薄い場合に、骨とシュナイダー膜(上顎洞を覆っている粘膜)を持ち上げて骨を増やし、同時にインプラントを埋め込む方法です。

ボーングラフトは、歯槽骨が吸収されて骨幅が薄くなりインプラントが不可能な場合に行う手法で、必要な骨を自身の骨から切り出して移植し、骨を作り出します。
インプラントの骨造成(GBR)手術後には腫れや痛みのリスクがあり、腫れは手術直後から始まり5~7日続くことが一般的で、青アザができることもあります。
なお、強く腫れている。腫れや痛みが強すぎて我慢できない。など数日で腫れや痛みがおさまらない場合は、直ちに当院までご連絡をお願いいたします。
インプラント埋入前にサイナス部分にGBRを行い、骨が出来上がるのを待ってからインプラント治療を実施。


ブロック骨移植をし骨造成をしたインプラント。




パーテーション区切りの診療室だけでなく、
完全個室もご用意!
プライバシーが守られ、人目を気にせず
自分だけの空間で安心して治療を受けられ、
相談ができるのもポイントです。
また、バリアフリー設計で
チャイルドルーム付きの個室もありますので、
バギーのまま診療室まで入れ、お子様と同じ空間で一緒に治療も受けられます。
なお、子供たちのためのキッズハウスもあり、
小さなお子様も楽しく通える歯医者です。



沼澤田無駅前歯科では、
患者様に納得していただいた状態で治療を提供。
歯や口腔内の状態を確認させていただいた上で、
患者様に最適な治療を提案いたします。
担当するのは、特別な訓練を受けた
トリートメントコーディネーター、歯科医師、歯科衛生士なので、
安心してご相談をいただけます。
院長の沼澤成文は「ITI SC西東京 Director」「Straumann Guide Plannning Academy 講師」「歯科医師臨床研修 指導医」を拝命し努めております。
副理事長の沼澤秀之は「ストローマンガイド プランニングアカデミー 講師」「西東京インプラントアライアンス 主宰」を務めております。
そして、当医療法人のドクター勉強会を定期的に開催し、グループ全体の治療技術・臨床知識の向上を常に行っております。
このことから患者様には、先進の歯科医療とクオリティの高い歯科治療のご提供ができる環境を整えております。



沼澤田無駅前歯科では、
医療人として医学的知識を追求し続けます。
各学会の認定医や専門医の取得から、国内外の勉強会グループでの症例発表など、患者様に先進で最良な治療を提案するための努力は惜しみません。
RESERVATION
ご予約はこちらから
休診日:日曜・祝日