沼澤田無駅前歯科では
目立たない矯正を希望する方には
マウスピース矯正をおすすめしています。
矯正装置が取り外しが可能なので
お食事や歯磨きの際にストレスなく過ごせます。
お一人おひとりの歯列に合わせたフルオーダー設計で、
効果的にキレイな歯並びに改善します。
目立たない矯正で、自然な笑顔を手に!

トリオス5の光学3Dスキャンニングによって、瞬時にご自身の歯の色や歯並びを把握でき、あなたの歯並びの問題点がわかります。
透明で目立たないマウスピースを使用するため、装着中も日常生活に溶け込み、周囲に気付かれることなく歯並びを整えることが可能です。
Do you have any of these problems?
※このような症状があればご相談ください。

実はそのお困り事は
改善できます
| ケース数 | 638 ケース |
|---|
| 〔2025年〕 100ケース |
〔2024年〕 65ケース |
〔2023年〕 57ケース |
〔2022年〕 76ケース |
| 〔2021年〕 78ケース |
〔2020年〕 28ケース |
〔2019年〕 42ケース |
〔2018年〕 34ケース |
| 〔2017年〕 31ケース |
〔2016年〕 42ケース |
〔2015年〕 49ケース |
〔2014年〕 36ケース |
見えない、取り外せるマウスピース矯正
沼澤田無駅前歯科では、取り外せる目立たない歯列矯正歯科治療として、マウスピース矯正を導入しております。
マウスピース矯正装置を用いての治療は、お一人おひとりの治療計画にあったオーダーメイドのマウスピースを作成し、歯並びを改善していく矯正治療です。
また、部分的な矯正治療の部分矯正としてもご利用できますので、すきっ歯、出っ歯、前歯だけなど、気になる部分がありましたらお気軽にご相談ください。

トリオス5スキャニングは、矯正治療計画に必要なコンピューター・シミュレーションを作成するための光学スキャニング技術です。
従来のシリコン印象と比べて、トリオス5スキャニングは歯型の精度が高く、輸送が不要で、嘔吐反射や顎の疲労が起こりにくいのがメリットです。
当院では、この技術を活用して、最適なマウスピース矯正を提供しています。

マウスピース矯正はワイヤーブラケットを装着せずにおこなえるため、マウスピースのみで歯並びを改善するという大きなメリットがあります。
ですが残念ながら、すべての矯正治療に対応できる訳ではありません。特に重度の不正咬合には適応しないため、軽度の不正咬合に適応する治療法に主に使用します。参考として適応する症例を挙げると以下のような症例になります。
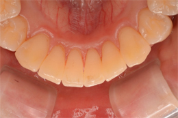
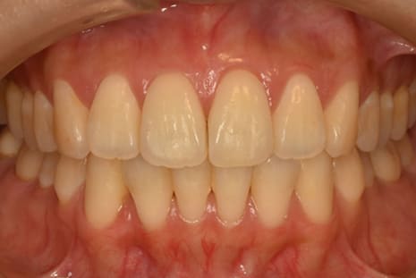
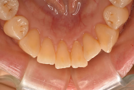
Mouthpiece Orthodontics Case Studies






マウスピース矯正装置にて上下顎の矯正を行いました。
足りないスペースは側方への歯列拡大とIPR(歯の間の削り込み)を行い矯正しました。
<リスク・副作用>
装着時間が不足したり、治療計画通りに進まない場合、治療期間が延びることがあります。矯正治療を始めると、多くの人が歯の痛みや不快感を感じます。これは、歯が新しい位置に動いているためで、通常は軽度のものです。


















パーテーション区切りの診療室だけでなく、
完全個室もご用意!
プライバシーが守られ、人目を気にせず
自分だけの空間で安心して治療を受けられ、
相談ができるのもポイントです。
また、バリアフリー設計で
チャイルドルーム付きの個室もありますので、
バギーのまま診療室まで入れ、お子様と同じ空間で一緒に治療も受けられます。
なお、子供たちのためのキッズハウスもあり、
小さなお子様も楽しく通える歯医者です。



沼澤田無駅前歯科では、
患者様に納得していただいた状態で治療を提供。
歯や口腔内の状態を確認させていただいた上で、
患者様に最適な治療を提案いたします。
担当するのは、特別な訓練を受けた
トリートメントコーディネーター、歯科医師、歯科衛生士なので、
安心してご相談をいただけます。
院長の沼澤成文は「ITI SC西東京 Director」「Straumann Guide Plannning Academy 講師」「歯科医師臨床研修 指導医」を拝命し努めております。
副理事長の沼澤秀之は「ストローマンガイド プランニングアカデミー 講師」「西東京インプラントアライアンス 主宰」を務めております。
そして、当医療法人のドクター勉強会を定期的に開催し、グループ全体の治療技術・臨床知識の向上を常に行っております。
このことから患者様には、先進の歯科医療とクオリティの高い歯科治療のご提供ができる環境を整えております。



沼澤田無駅前歯科では、
医療人として医学的知識を追求し続けます。
各学会の認定医や専門医の取得から、国内外の勉強会グループでの症例発表など、患者様に先進で最良な治療を提案するための努力は惜しみません。
RESERVATION
ご予約はこちらから
休診日:日曜・祝日